むし歯治療
従来のむし歯治療法と歯を削らない治療法
ドッグスベストについて
ドッグスベストについては、
こちらの動画をご覧下さい。
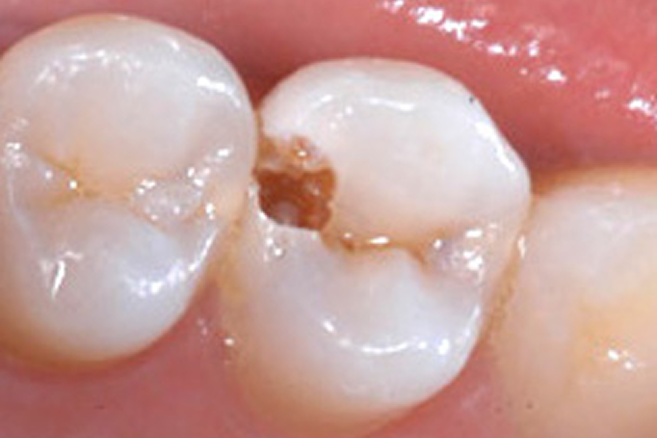
従来の保険むし歯治療法
このように治療した詰め物の下から 虫歯になっていることがあります。
なぜ治療した歯の内部から 虫歯になってしまうのでしょう。
実は虫歯の部分をすべて削り取っても 虫歯菌が残っていることがあります。
通常は虫歯を取り除くために 次のような事をします。
しかし、顕微鏡レベルでは組織の中に虫歯菌が入り込んでいて残っていることがあります。
そのため、治療した歯なのに 内部から虫歯になったり、治療後に痛みが出て神経を取るような事があるのです。
ドックスベスト治療
について
従来の虫歯治療は虫歯になった部分をすべて削りとっていましたが、ドックスベスト療法はできるだけ歯を削らず、虫歯菌を殺菌して無毒化しミネラルで虫歯を自然治癒させる治療です。
こんな人におススメ!
- できるだけ歯を削りたくない人
- できるだけ神経を取りたくない人
- できるだけ麻酔をしたくない人
- 詰め物が取れて、中が虫歯になっている人
- 今まで何度も虫歯の治療を繰り返している人
- 虫歯の治療をした後に痛み出たことがある人
治療の特徴
従来の虫歯治療は虫歯になった部分をすべて削りとっていましたが、ドックスベスト療法はできるだけ歯を削らず、虫歯菌を殺菌して無毒化しミネラルで虫歯を自然治癒させる治療です。
強い抗菌剤を使う治療(3Mixなど)ではなく、銅イオンによる弱い殺菌力が永続的に的に続く治療なのでアレルギーの心配がありません。
(主成分は人間の血液中にも含まれてるミネラルで銅、鉄分、マグネシウムなどです。)
強い抗菌剤を使う治療(3Mixなど)ではなく、銅イオンによる弱い殺菌力が永続的に的に続く治療なのでアレルギーの心配がありません。
(主成分は人間の血液中にも含まれてるミネラルで銅、鉄分、マグネシウムなどです。)
小さめの虫歯1本の場合(治療回数1回)

歯の表面を少しだけ削って虫歯の範囲を明らかにします。
2,200円(税込)

薬を塗布して殺菌
3,300円(税込)
ドックスベストセメントを充填
3,300円(税込)

その日に詰め物(ハイブリッドセラミック)を充填
8,800円(税込)
形態修正して終了
2,200円(税込)
注意点(リスク)
- すごく小さなむし歯には適応できません。
- すでに強い痛みのある大きなむし歯には適応できません。
- 保険診療として認可されていないため自費診療となります。
その歯の治療はすべて保険外治療になります。
(治療費は詰め物の種類によって変わります)。
ドックスベストセメント・医薬品に関する注意事項について
ドックスベストセメントは、日本の「医薬品医療機器等法(薬機法)」でまだ承認されていない治療のため、保険診療ではなく自費治療になります。
入手経路
DOC BEST CLUB受注代行センター
国内承認医薬品等の有無
類似製品は日本では販売されていません。
諸外国における安全性等に係る情報に関して
ADA(アメリカ歯科医師会)において公的機関の検査・許可を受けている薬剤です。 アメリカでは一般的に用いられております。
主成分は人間の血液中にも含まれてるミネラルで銅、鉄分、マグネシウムなどです。