CASE 症例集
治療前後の写真と内容を交え、実際の症例をわかりやすく紹介します。
-
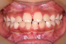
小児矯正
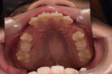
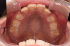
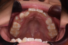
10歳すきっ歯の小児矯正
-
Before
-
After
- 活動内容
- 前歯の隙間は犬歯が生えることで改善することが多いのですが、隙間が残っていましたので、床矯正を使って前歯を改善しました。
3ケ月と短期間で、床装置は一つで治療できました。
- リスク
- 小児矯正は、決められた時間つけていないと歯が動かないため、必ず時間を守って装置して頂く必要があります。 装置のみの作用ではしっかりと治りません。 指示されたトレーニングや悪い習慣を治すことを行う必要があります。
- 治療期間
- 3ケ月
- 治療費用
- 装置代:44,000円(税込)
- 患者様の声
-
Before
-
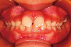
小児矯正
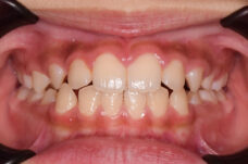
5歳乳歯の受け口の小児矯正
-
Before
-
After
- 活動内容
- 受け口は歯並びの問題だけでなく、骨格(顔つき)にも悪影響を起こすので、4~5歳で始めて、6歳までに改善するのが理想です。
ムーシールドという装置を起きている時30分と寝ている時ずっと装着できるようになると6ヵ月で改善します。
この時期に改善すれば顔つきに影響が残りません。 - リスク
- 小児矯正は、決められた時間つけていないと歯が動かないため、必ず時間を守って装置して頂く必要があります。 装置のみの作用ではしっかりと治りません。 指示されたトレーニングや悪い習慣を治すことを行う必要があります。
- 治療期間
- 6ヶ月
- 治療費用
- 装置代:49,500円(税込)
- 患者様の声
-
Before
-
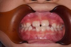
小児矯正
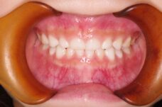
7歳前歯のガタツキと受け口の小児矯正
-
Before
-
After
- 活動内容
- 第一次成長期が終わってからの治療開始でしたが、
患者さんの頑張りで、歯並びだけでなく、受け口の顔つきも改善しました。装置は上のみの使用で、下の前歯のガタガタは患者さん自身の力で治りました。 - リスク
- 小児矯正は、決められた時間つけていないと歯が動かないため、必ず時間を守って装置して頂く必要があります。 装置のみの作用ではしっかりと治りません。 指示されたトレーニングや悪い習慣を治すことを行う必要があります。
- 治療期間
- 2年
- 治療費用
- 装置代:115,500円(税込)
- 患者様の声
-
Before
-
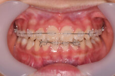
小児矯正
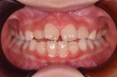
7歳出っ歯の小児矯正
-
Before
-
After
- 活動内容
- 下顎が後ろにさがっているために出っ歯に見える状態でした。
歯列を整えて下顎が正しい位置でで噛むようになることで、顔つきがずいぶん変化しました。
顔の成長を正しく導けるのが小児矯正の一番のメリットです。 - リスク
- 小児矯正は、決められた時間つけていないと歯が動かないため、必ず時間を守って装置して頂く必要があります。 装置のみの作用ではしっかりと治りません。 指示されたトレーニングや悪い習慣を治すことを行う必要があります。
- 治療期間
- 2年
- 治療費用
- 装置代:154,000円(税込)
- 患者様の声
-
Before
-
小児矯正
10歳八重歯の小児矯正
-
Before
-
After
- 活動内容
- 治療開始が遅く、上は八重歯になっていました。床装置を12時間装着して歯列を拡げるのを頑張りました。固定式装置を使用しましたが、永久歯を抜歯せずに治療できました。
下の歯列は装置を使用せずに自分の力できれいになりました。
治療後は固定式装置を外ずして、取り外し式の保定装置に代えます。
予防歯科で12歳臼歯の萌出と機能の安定を管理します。 - リスク
- 小児矯正は、決められた時間つけていないと歯が動かないため、必ず時間を守って装置して頂く必要があります。 装置のみの作用ではしっかりと治りません。 指示されたトレーニングや悪い習慣を治すことを行う必要があります。
- 治療期間
- 11ヶ月
- 治療費用
- 装置代:209,000円(税込)
- 患者様の声
-
Before
-
小児矯正
7歳前歯のガタつきの小児矯正
-
Before
-
After
- 活動内容
- 2種類の床矯正を毎日12時間着けていただきました。
最初の装置で上下の歯列を拡げて、その後の装置で前歯を整えました。
前歯に十分隙間ができましたので、乳歯より大きな永久歯が生えても
スペースは十分です。
治療後は予防歯科で生え代わりと機能を管理します。 - リスク
- 小児矯正は、決められた時間つけていないと歯が動かないため、必ず時間を守って装置して頂く必要があります。 装置のみの作用ではしっかりと治りません。 指示されたトレーニングや悪い習慣を治すことを行う必要があります。
- 治療期間
- 1年6ヶ月
- 治療費用
- 装置代:231,000円(税込)
- 患者様の声
-
Before
-
小児矯正
10歳出っ歯の小児矯正
-
Before
-
After
- 活動内容
- 出っ歯が気になるという事でしたが、下顎がさがっていました。治療開始が遅かったため生え代わりを待つ必要があり、治療期間が長くなりました。
下顎が正しい位置で噛むようになり、出っ歯に見えなくなりました。 - リスク
- 小児矯正は、決められた時間つけていないと歯が動かないため、必ず時間を守って装置して頂く必要があります。 装置のみの作用ではしっかりと治りません。 指示されたトレーニングや悪い習慣を治すことを行う必要があります。
- 治療期間
- 3年
- 治療費用
- 装置代:231,000円(税込)
- 患者様の声
-
Before
-
小児矯正
7歳前歯のガタツキと開咬の小児矯正
-
Before
-
After
- 活動内容
- 最初は難しい症例ではなかったのですが、患者さんの装置の使用時間が十分でないため、治療の進行が遅くて途中で犬歯や奥歯の生え代わりが始まってしまいました。
上の犬歯が生えてきた位置が悪い事と上下の前歯を咬み合わせるために固定式の装置を使用しました。 - リスク
- 小児矯正は、決められた時間つけていないと歯が動かないため、必ず時間を守って装置して頂く必要があります。 装置のみの作用ではしっかりと治りません。 指示されたトレーニングや悪い習慣を治すことを行う必要があります。
- 治療期間
- 2年7ヶ月
- 治療費用
- 装置代:356,125円(税込)
- 患者様の声
-
Before
-
小児矯正
10歳アライナー小児矯正
-
Before
-
After
- 活動内容
- 治療開始が遅くてこのままでは犬歯の生えるスペースが不足していて八重歯になるところでしたが、アライナー矯正で素早く歯を動かして犬歯が生えてくるスペースを作ることで八重歯にならずに済みました。
八重歯のケースは永久歯の抜歯が必要になることもありますが、避けることができました。
矯正後は永久歯がすべて生えるまでは予防歯科で歯の生え代わりと機能を管理します。 - リスク
- 小児矯正は、決められた時間つけていないと歯が動かないため、必ず時間を守って装置して頂く必要があります。 装置のみの作用ではしっかりと治りません。 指示されたトレーニングや悪い習慣を治すことを行う必要があります。
- 治療期間
- 6ヶ月
- 治療費用
- 装置代:550,000円(税込)
- 患者様の声
-
Before
-
小児矯正
10歳アライナー小児矯正
-
Before
-
After
- 活動内容
- 治療の開始が遅く、犬歯と奥歯の生え代わりが始まっていましたが、床矯正より治療スピードが早いアライナー矯正を使用して、犬歯のスペースをとても短期間に作ることができました。八重歯を防げましたので固定式の装置は必要なくなりました。永久歯がすべて生えるまでは予防歯科で歯の生え代わりと機能を管理します。
- リスク
- 小児矯正は、決められた時間つけていないと歯が動かないため、必ず時間を守って装置して頂く必要があります。 装置のみの作用ではしっかりと治りません。 指示されたトレーニングや悪い習慣を治すことを行う必要があります。
- 治療期間
- 7ヵ月
- 治療費用
- 装置代:550,000円(税込)
- 患者様の声
-
Before