CASE 7歳前歯のガタつきの小児矯正

小児矯正

7歳前歯のガタつきの小児矯正

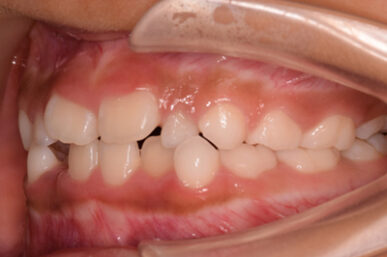
  • Before

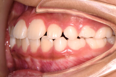
  • After

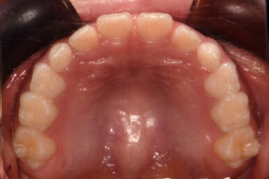
  • Before

  • After

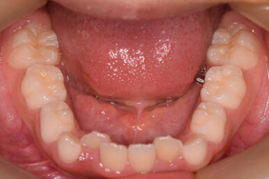
  • Before

  • After

  • Before

  • After

  • Before

  • After

  • Before

  • After

活動内容
2種類の床矯正を毎日12時間着けていただきました。
最初の装置で上下の歯列を拡げて、その後の装置で前歯を整えました。
前歯に十分隙間ができましたので、乳歯より大きな永久歯が生えても
スペースは十分です。
治療後は予防歯科で生え代わりと機能を管理します。
リスク
小児矯正は、決められた時間つけていないと歯が動かないため、必ず時間を守って装置して頂く必要があります。
装置のみの作用ではしっかりと治りません。
指示されたトレーニングや悪い習慣を治すことを行う必要があります。
治療期間
1年6ヶ月
治療費用
装置代:231,000円(税込)
患者様の声