CASE 10歳八重歯の小児矯正

小児矯正

10歳八重歯の小児矯正

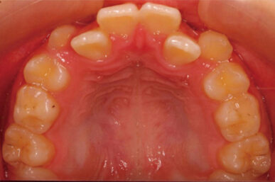
  • Before

  • After

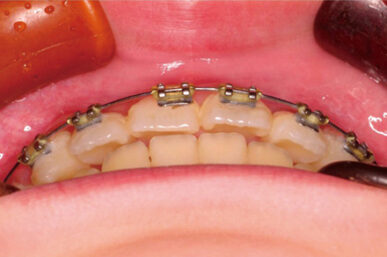
  • Before

  • After

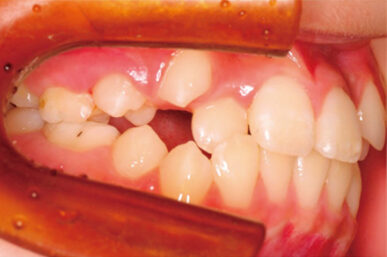
  • Before

  • After

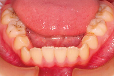
  • Before

  • After

  • Before

  • After

  • Before

  • After

活動内容
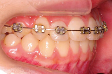
治療開始が遅く、上は八重歯になっていました。床装置を12時間装着して歯列を拡げるのを頑張りました。固定式装置を使用しましたが、永久歯を抜歯せずに治療できました。
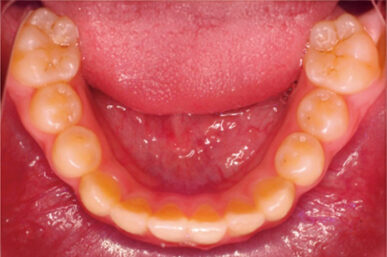
下の歯列は装置を使用せずに自分の力できれいになりました。
治療後は固定式装置を外ずして、取り外し式の保定装置に代えます。
予防歯科で12歳臼歯の萌出と機能の安定を管理します。
リスク
小児矯正は、決められた時間つけていないと歯が動かないため、必ず時間を守って装置して頂く必要があります。
装置のみの作用ではしっかりと治りません。
指示されたトレーニングや悪い習慣を治すことを行う必要があります。
治療期間
11ヶ月
治療費用
装置代:209,000円(税込)
患者様の声