CASE 7歳出っ歯の小児矯正

小児矯正

7歳出っ歯の小児矯正

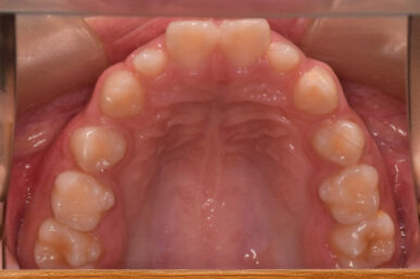
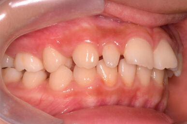
  • Before

  • After

  • Before

  • After

  • Before

  • After

  • Before

  • After

  • Before

  • After

活動内容
下顎が後ろにさがっているために出っ歯に見える状態でした。
歯列を整えて下顎が正しい位置でで噛むようになることで、顔つきがずいぶん変化しました。
顔の成長を正しく導けるのが小児矯正の一番のメリットです。
リスク
小児矯正は、決められた時間つけていないと歯が動かないため、必ず時間を守って装置して頂く必要があります。
装置のみの作用ではしっかりと治りません。
指示されたトレーニングや悪い習慣を治すことを行う必要があります。
治療期間
2年
治療費用
装置代:154,000円(税込)
患者様の声