CASE 10歳出っ歯の小児矯正

小児矯正

10歳出っ歯の小児矯正

  • Before

  • After

  • Before

  • After

  • Before

  • After

  • Before

  • After

  • Before

  • After

  • Before

  • After

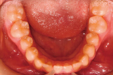
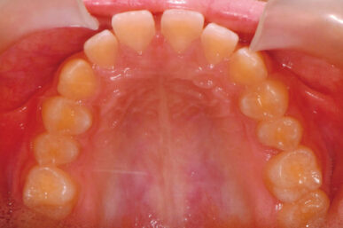
活動内容
出っ歯が気になるという事でしたが、下顎がさがっていました。治療開始が遅かったため生え代わりを待つ必要があり、治療期間が長くなりました。
下顎が正しい位置で噛むようになり、出っ歯に見えなくなりました。
リスク
小児矯正は、決められた時間つけていないと歯が動かないため、必ず時間を守って装置して頂く必要があります。
装置のみの作用ではしっかりと治りません。
指示されたトレーニングや悪い習慣を治すことを行う必要があります。
治療期間
3年
治療費用
装置代:231,000円(税込)
患者様の声