はじめての方へ
クリニック紹介
About us
クリニック紹介
当院が選ばれる理由
院長・スタッフ紹介
感染予防対策
一時保育サービス
院内の様子
診療案内
Treatment
診療案内
料金表
患者様からの声
症例集
MENU
ご予約・お問い合わせ
092-915-4180
24時間WEB予約
ホーム
はじめての方へ
クリニック紹介
当院が選ばれる理由
院長・スタッフ紹介
感染予防対策
一時保育サービス
院内の様子
診療案内
むし歯治療
歯周病治療
小児矯正
小児歯科
成人矯正
予防歯科
インプラント治療
審美治療
ホワイトニング
料金表
患者様からの声
症例集
ブログ
アクセス
ご予約・お問い合わせ
お知らせ
採用情報
奨学金制度のご案内
研修医の皆さまへ
セミナー受講生の方へ
CASE
10歳すきっ歯の小児矯正
Top
症例集
10歳すきっ歯の小児矯正
小児矯正
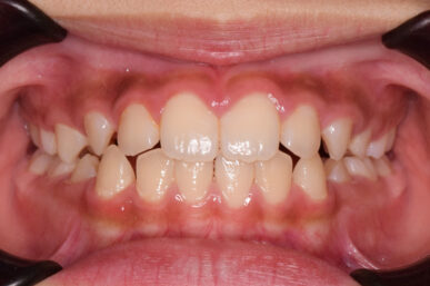
10歳すきっ歯の小児矯正
Before
After
活動内容
前歯の隙間は犬歯が生えることで改善することが多いのですが、隙間が残っていましたので、床矯正を使って前歯を改善しました。
3ケ月と短期間で、床装置は一つで治療できました。
リスク
小児矯正は、決められた時間つけていないと歯が動かないため、必ず時間を守って装置して頂く必要があります。 装置のみの作用ではしっかりと治りません。 指示されたトレーニングや悪い習慣を治すことを行う必要があります。
治療期間
3ケ月
治療費用
装置代:44,000円(税込)
患者様の声