CASE 7歳前歯のガタツキと受け口の小児矯正

小児矯正

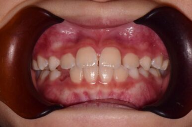
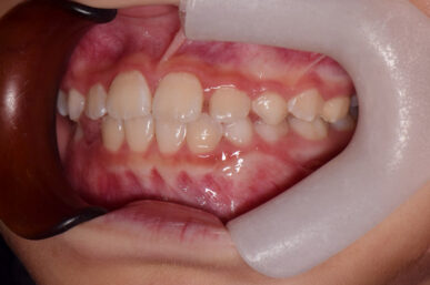
7歳前歯のガタツキと受け口の小児矯正

  • Before

  • After

  • Before

  • After

  • Before

  • After

  • Before

  • After

  • Before

  • After

活動内容
第一次成長期が終わってからの治療開始でしたが、
患者さんの頑張りで、歯並びだけでなく、受け口の顔つきも改善しました。装置は上のみの使用で、下の前歯のガタガタは患者さん自身の力で治りました。
リスク
小児矯正は、決められた時間つけていないと歯が動かないため、必ず時間を守って装置して頂く必要があります。
装置のみの作用ではしっかりと治りません。
指示されたトレーニングや悪い習慣を治すことを行う必要があります。
治療期間
2年
治療費用
装置代:115,500円(税込)
患者様の声