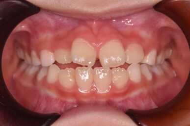
CASE 7歳前歯のガタツキと開咬の小児矯正

小児矯正

7歳前歯のガタツキと開咬の小児矯正

  • Before

  • After

  • Before

  • After

  • Before

  • After

  • Before

  • After

  • Before

  • After

  • Before

  • After

活動内容
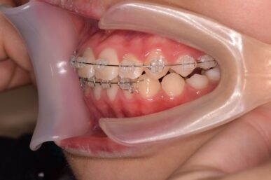
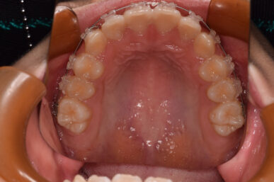
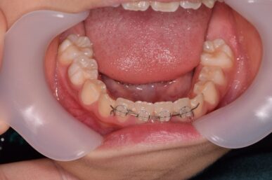
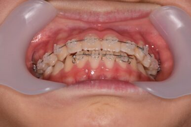
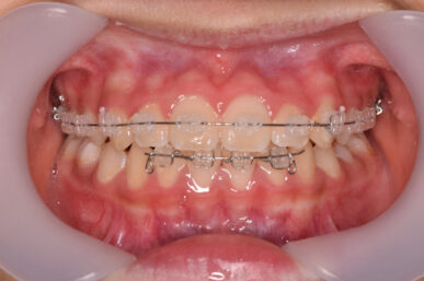
最初は難しい症例ではなかったのですが、患者さんの装置の使用時間が十分でないため、治療の進行が遅くて途中で犬歯や奥歯の生え代わりが始まってしまいました。
上の犬歯が生えてきた位置が悪い事と上下の前歯を咬み合わせるために固定式の装置を使用しました。
リスク
小児矯正は、決められた時間つけていないと歯が動かないため、必ず時間を守って装置して頂く必要があります。
装置のみの作用ではしっかりと治りません。
指示されたトレーニングや悪い習慣を治すことを行う必要があります。
治療期間
2年7ヶ月
治療費用
装置代:356,125円(税込)
患者様の声