CASE 10歳アライナー小児矯正

小児矯正

10歳アライナー小児矯正

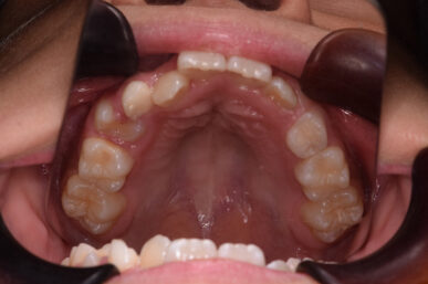
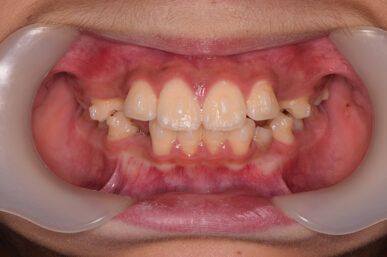
  • Before

  • After

  • Before

  • After

  • Before

  • After

  • Before

  • After

  • Before

  • After

  • Before

  • After

活動内容
治療の開始が遅く、犬歯と奥歯の生え代わりが始まっていましたが、床矯正より治療スピードが早いアライナー矯正を使用して、犬歯のスペースをとても短期間に作ることができました。八重歯を防げましたので固定式の装置は必要なくなりました。永久歯がすべて生えるまでは予防歯科で歯の生え代わりと機能を管理します。
リスク
小児矯正は、決められた時間つけていないと歯が動かないため、必ず時間を守って装置して頂く必要があります。
装置のみの作用ではしっかりと治りません。
指示されたトレーニングや悪い習慣を治すことを行う必要があります。
治療期間
7ヵ月
治療費用
装置代:550,000円(税込)
患者様の声