CASE 10歳アライナー小児矯正

小児矯正

10歳アライナー小児矯正

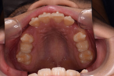
  • Before

  • After

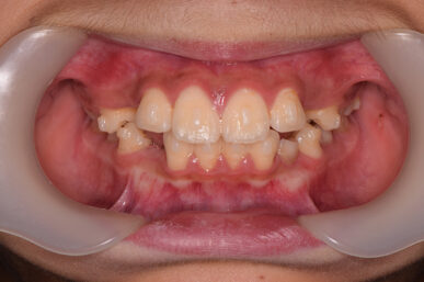
  • Before

  • After

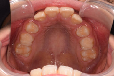
  • Before

  • After

  • Before

  • After

  • Before

  • After

  • Before

  • After

活動内容
治療開始が遅くてこのままでは犬歯の生えるスペースが不足していて八重歯になるところでしたが、アライナー矯正で素早く歯を動かして犬歯が生えてくるスペースを作ることで八重歯にならずに済みました。
八重歯のケースは永久歯の抜歯が必要になることもありますが、避けることができました。
矯正後は永久歯がすべて生えるまでは予防歯科で歯の生え代わりと機能を管理します。
リスク
小児矯正は、決められた時間つけていないと歯が動かないため、必ず時間を守って装置して頂く必要があります。
装置のみの作用ではしっかりと治りません。
指示されたトレーニングや悪い習慣を治すことを行う必要があります。
治療期間
6ヶ月
治療費用
装置代:550,000円(税込)
患者様の声