はじめての方へ
クリニック紹介
About us
クリニック紹介
当院が選ばれる理由
院長・スタッフ紹介
感染予防対策
一時保育サービス
院内の様子
診療案内
Treatment
診療案内
料金表
患者様からの声
症例集
MENU
ご予約・お問い合わせ
092-915-4180
24時間WEB予約
ホーム
はじめての方へ
クリニック紹介
当院が選ばれる理由
院長・スタッフ紹介
感染予防対策
一時保育サービス
院内の様子
診療案内
むし歯治療
歯周病治療
小児矯正
小児歯科
成人矯正
予防歯科
インプラント治療
審美治療
ホワイトニング
料金表
患者様からの声
症例集
ブログ
アクセス
ご予約・お問い合わせ
お知らせ
採用情報
奨学金制度のご案内
研修医の皆さまへ
セミナー受講生の方へ
CASE
右上下の八重歯が気になる
Top
症例集
右上下の八重歯が気になる
成人矯正
右上下の八重歯が気になる
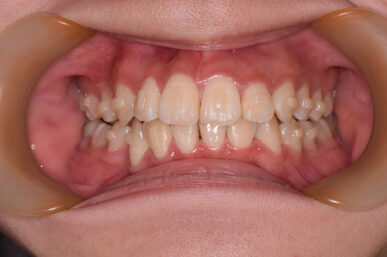
Before
After
Before
After
活動内容
フル3で治療しました。
八重歯がひどくて、右上の前歯が1本見えない状態でした。
右上下の小臼歯を合計2本抜歯することで治療期間を短くすることができました。
リスク
マウスピース矯正は、1日20〜22時間の装着が必要です。
装着時間が不足した場合、歯が計画通りに動かず、治療期間の延長や治療結果に影響が出る可能性があります。
治療期間
1年3ヶ月
治療費用
990,000円(税込)
患者様の声