CASE
強い歯列の乱れを、非抜歯で改善し2年で完了した矯正症例
- Top
- 症例集
- 強い歯列の乱れを、非抜歯で改善し2年で完了した矯正症例
成人矯正
強い歯列の乱れを、非抜歯で改善し2年で完了した矯正症例
-
Before
-
After
-
Before
-
After
- 活動内容
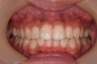
- フル4で治療しました。
上下の乱れがかなり強い状態でした。
このようなケースは4本抜歯しての矯正になることが多いのですが、患者さんの希望で抜歯をせずに治療しました。
患者さんが頑張ってくれたこともあり2年で治すことができました。
- リスク
- マウスピース矯正は、1日20〜22時間の装着が必要です。
装着時間が不足した場合、歯が計画通りに動かず、治療期間の延長や治療結果に影響が出る可能性があります。
- 治療期間
- 2年
- 治療費用
- 1,320,000円(税込)
- 患者様の声