成人矯正
当院では世界シェアNo1のインビザライン社と提携して治療を行っています。
マウスピース矯正
について
マウスピース矯正については、
こちらの動画をご覧下さい。
透明なマウスピース矯正
(インビザライン)
透明なマウスピースを自宅で2週間ごとに取り換えて、自分で歯並びを治す方法です。
歯並びを治したいけど、歯に固定する装置を使いたくない。
人に矯正治療をしていることを仕事柄知られたくない。
なんとかあのような矯正装置をつけなくても歯並びをきれいにする方法はないのかなぁ~そんなことを思われている方は多いのではないでしょうか?
このような方におススメ
- 矯正治療しているのを人に気付かれたくない
- 矯正すると食事するのが辛そう
- 矯正は痛みがありそうで不安
- 歯に器具をつけると虫歯が心配
- 矯正中しゃべりにくそう
- 忙しいのでなかなか通えない
- 金属アレルギーが心配
- 本当に治るのか不安
- 費用がどれぐらいかかるのか分からず不安
透明なマウスピース矯正
(インビザライン)の特徴
透明な材質で薄さ0.5mmなので目立たない

誰にもばれずに矯正でき、恥ずかしくない
食事の時は外せるので快適

食べ物が挟まる不快感がない
口の中を傷つけず、快適な着け心地

出血や口内炎のトラブルがない
装置の取り外しができるので衛生的

口の中が清潔で虫歯の心配がない
話すときも邪魔にならない

薄さ0.5mmなので、接客の方も支障なし
自宅で装置を交換

少ない来院回数で、忙しい人でもOK
金属アレルギーの方でも問題なし

アレルギーを気にせず矯正できる
どのように治るかを事前にイメージ

コンピューターでシミュレーション
費用がオールインパッケージ

5年間は何度でも装置の作り替えは無料
実際の矯正治療のビフォーアフ
ターをご覧下さい!
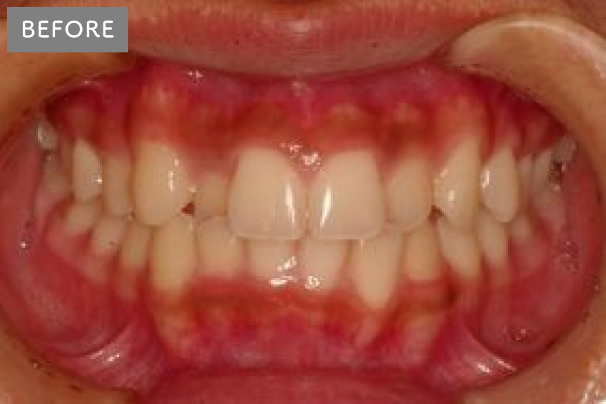
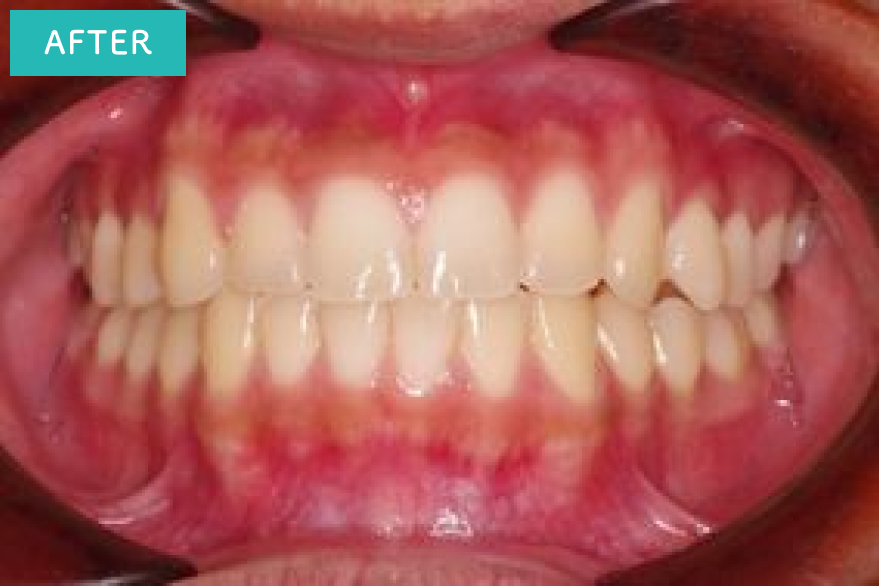
症例1

上の前歯にガタツキがあります。

前歯がきれいになりました。
- 治療の説明
- マウスピースを5~7日ごとに交換して、上下の歯列を拡げることで歯を抜かずに、2年間で歯並びが改善しました。
- 副作用(リスク)
- 歯の周りの骨(歯槽骨)の範囲を超えて歯を移動すると、歯肉が下がったり、神経が失活するリスクがあります。
- 費用
- 790,000円(税込869,000円)
- 治療期間
- 2年間
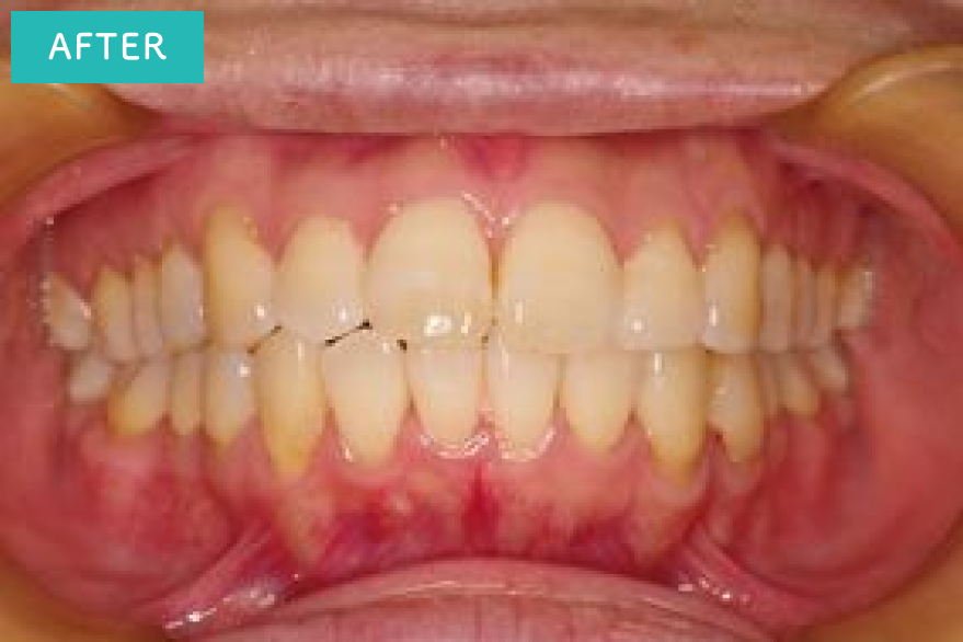
症例2

上の前歯にガタツキがあります。

上下ともきれいに並びました。
- 治療の説明
- マウスピースを5~7日ごとに交換して、2年半で歯並びが改善しました。
抜歯は行わず、IPRを行い歯の大きさを2mm~5mm小さくしました。 - 副作用(リスク)
- 歯の周りの骨(歯槽骨)の範囲を超えて歯を移動すると、歯肉が下がったり、神経が失活するリスクがあります。エナメルの切削量が1mmを超えると知覚過敏のリスクがあります。
- 費用
- 790,000円(税込869,000円)
- 治療期間
- 2年6か月
前歯だけの部分矯正
前歯だけの見た目を重視した歯列矯正(プチ矯正)のことです。
「前歯のガタガタが気になるけど、矯正治療は治療期間も長いし、費用も高いので、なかなか踏みきれない」と悩んで、歯並びが悪いままの方が多いと思います。
一般的に矯正治療(歯列矯正)とは、上下の顎のバランス、歯の大きさと顎のバランスを整えることにより歯並びを治していくため、2~3年の治療期間がかかってしまいます。
でも、「前歯の見た目だけが気になっていて、とにかく簡単で早く安価で治療できたらいいのに・・・」
と思っている方もおられるのではないでしょうか?
患者さんの
従来の矯正のイメージ
- 費用が高い(約70~100万円)
- 治療期間が長い(2~3年)
- 痛い(奥歯で硬い物が噛みにくい)
プチ矯正
(前歯のみの部分矯正)なら
- 前歯だけなので費用が安い(約20~30万円)
- 歯だけなので短期間で終わる(3~6ヶ月)
- 前歯だけなので痛みも少ない
ただし、噛み合わせや歯と顎の状態により無理な場合は全顎矯正も行っております。
プチ矯正の適応かどうかは、十分な相談と検査が必要になります。
はなだ歯科クリニックにご相談下さい。
実際の矯正治療のビフォーアフ
ターをご覧下さい!
症例1

治療前の状態

前歯だけ目立たない矯正

月に2回の通院で5ヶ月で矯正治療終了
- 治療の説明
- 上下前歯の歯と歯の間を0.2~0.5mmIPRして、セラミックブラケットを装着しました。
- 副作用(リスク)
- エナメルの切削量が1mmを超えると知覚過敏のリスクがあります。
- 費用
- 250,000円(税込275,000円)
- 治療期間
- 5ヶ月
症例2

治療前の状態

前歯だけ目立たない矯正

月に2回通院で4か月で矯正治療終了
- 治療の説明
- 上下前歯の歯と歯の間を0.2~0.5mmスリムにして、セラミックブラケットを装着しました。
- 副作用(リスク)
- エナメルの切削量が1mmを超えると知覚過敏のリスクがあります。
- 費用
- 250,000円(税込275,000円)
- 治療期間
- 4ヶ月
症例3

治療前の状態

前歯だけ目立たない矯正

月に2回通院で4か月で矯正治療終了
- 治療の説明
- 上の前歯の歯と歯の間を0.2~0.5mmIPRにして、セラミックブラケットを装着しました。
- 副作用(リスク)
- エナメルの切削量が1mmを超えると知覚過敏のリスクがあります。
- 費用
- 160,000円(税込176,000円)
- 治療期間
- 4ヶ月