CASE 症例集
治療前後の写真と内容を交え、実際の症例をわかりやすく紹介します。
-
成人矯正
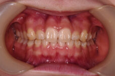
前歯のガタツキと隙間が気になる
-
Before
-
After
- 活動内容
- ライト1で治療しました。
前歯のみの問題で奥歯に問題がありませんでしたので、費用も期間も少なく治療できました。
- リスク
- マウスピース矯正は、1日20〜22時間の装着が必要です。
装着時間が不足した場合、歯が計画通りに動かず、治療期間の延長や治療結果に影響が出る可能性があります。
- 治療期間
- 6ヶ月
- 治療費用
- 550,000円(税込)
- 患者様の声
-
Before
-
成人矯正
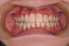
出っ歯が気になる
-
Before
-
After
- 活動内容
- ミディ2で治療しました。
前歯が出ているとの診断であれば、上下4本を抜歯して前歯をさげる治療となるのですが、下顎がさがっているために出っ歯に見えていると診断しましたので、
抜歯はせずに下顎が正しい位置で噛むように治療しました。
抜歯して前歯をさげると口の中が狭くなるので健康に良くないと考えています。 - リスク
- マウスピース矯正は、1日20〜22時間の装着が必要です。
装着時間が不足した場合、歯が計画通りに動かず、治療期間の延長や治療結果に影響が出る可能性があります。
- 治療期間
- 1年6ヶ月
- 治療費用
- 770,000円(税込)
- 患者様の声
-
Before
-
成人矯正
右上下の八重歯が気になる
-
Before
-
After
- 活動内容
- フル3で治療しました。
八重歯がひどくて、右上の前歯が1本見えない状態でした。
右上下の小臼歯を合計2本抜歯することで治療期間を短くすることができました。 - リスク
- マウスピース矯正は、1日20〜22時間の装着が必要です。
装着時間が不足した場合、歯が計画通りに動かず、治療期間の延長や治療結果に影響が出る可能性があります。
- 治療期間
- 1年3ヶ月
- 治療費用
- 990,000円(税込)
- 患者様の声
-
Before
-
成人矯正
強い歯列の乱れを、非抜歯で改善し2年で完了した矯正症例
-
Before
-
After
- 活動内容
- フル4で治療しました。
上下の乱れがかなり強い状態でした。
このようなケースは4本抜歯しての矯正になることが多いのですが、患者さんの希望で抜歯をせずに治療しました。
患者さんが頑張ってくれたこともあり2年で治すことができました。 - リスク
- マウスピース矯正は、1日20〜22時間の装着が必要です。
装着時間が不足した場合、歯が計画通りに動かず、治療期間の延長や治療結果に影響が出る可能性があります。
- 治療期間
- 2年
- 治療費用
- 1,320,000円(税込)
- 患者様の声
-
Before